Llaman a prevenir la tuberculosis

El 24 de marzo se conmemora el Día Mundial de la prevención contra la Tuberculosis, enfermedad que es curable si se detecta a tiempo
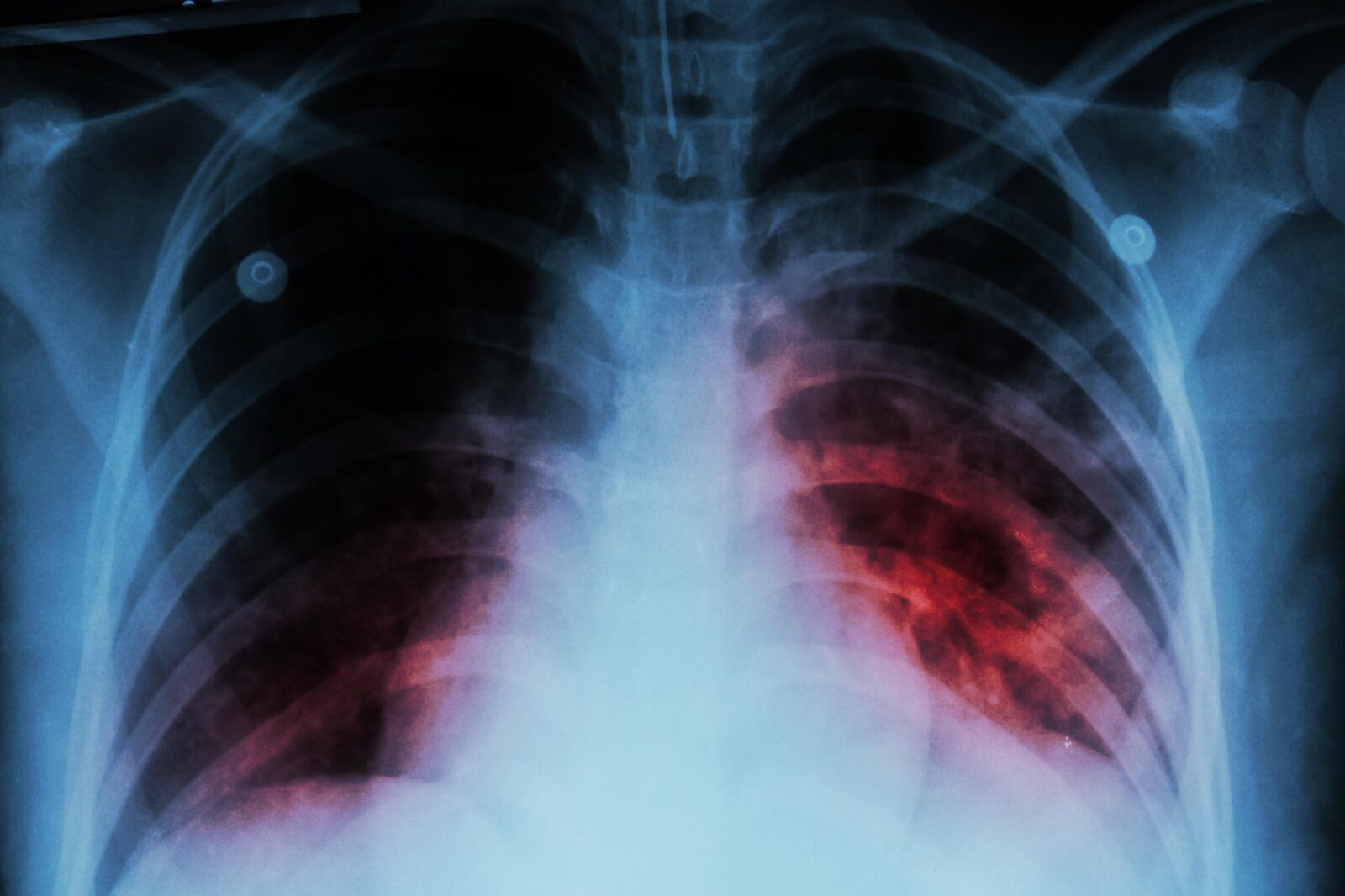
Ciudad del Carmen, Camp.__ Llaman a prevenir la tuberculosis, enfermedad infectocontagiosa que se transmite a través de la saliva; si esta enfermedad es detectada a tiempo se puede tratar y curar; el tratamiento en la Secretaría de Salud, es totalmente gratuito, dijo el doctor Margarito González Pérez, responsable del programa de VIH y Micobacteriosis, de la Jurisdicción Sanitaria No. 3 (JSN3), del municipio de Carmen.

“La tuberculosis se transmite a través de la saliva cuando hablamos, cantamos, reímos y tosemos, ya que despedimos una gran cantidad de saliva, y si el paciente se encuentra infectado puede trasmitir a esta enfermedad a través de las gotitas de la saliva; este al afecta los pulmones”, señaló.

Mencionó que los síntomas son, fiebre, descenso de peso, tos de más de quince días, por ello, si la tos dura más de quince días, el paciente se debe hacer una detección a través de la baciliscopia, un estudio de la flema, la cual se detecta los bacilos que produce la tuberculosis.
Te puede interesar: Realizará IMSS en Campeche, jornada de servicios ordinarios 2024
Expresó que a parte para los niños de cinco años que no pueden generar una muestra, se puede aplicar la prueba de la tuberculina para detectar si tiene infección. Afortunadamente la enfermedad es curable, ya Secretaría de Salud cuenta con los tratamientos, es un poco largo, dura seis meses siempre y cuando se lleve como lo indica el médico.
Las personas que están infectadas pero que no han enfermado, no pueden transmitir la enfermedad. La tuberculosis suele tratarse con antibióticos y puede ser mortal si no se trata.
Método de prevención
Para prevenir esta enfermedad, la persona debe buscar atención médica si presenta síntomas como, tos prolongada, fiebre y una pérdida de peso inexplicable, ya que el tratamiento precoz de la tuberculosis puede ayudar a detener su propagación y a aumentar las posibilidades de recuperación.

Hágase la prueba de la infección tuberculosa si se encuentra en una situación de mayor riesgo, por ejemplo, si tiene VIH o está en contacto en el hogar o en el lugar de trabajo con personas con tuberculosis. Si le recetan un tratamiento para prevenir la tuberculosis, tome todo el esquema terapéutico prescrito por el médico.
Si tiene tuberculosis, adopte prácticas de higiene al toser, por ejemplo, evite el contacto con otras personas y utilice una mascarilla, cúbrase la boca y la nariz al toser o estornudar, y deshágase adecuadamente del esputo y de los pañuelos usados.